
Na tarde de sexta-feira, uma operação da Polícia Rodoviária em Itu, interior de São Paulo, expôs uma dramática tentativa de tráfico internacional de drogas, envolvendo três cidadãos bolivianos flagrados com cápsulas de cocaína na Rodovia Castello Branco.
Segundo registros oficiais, o trio – composto por dois homens e uma mulher – foi interceptado próximo ao quilômetro 77 da rodovia. Durante revista pessoal, agentes descobriram cápsulas de pasta base de cocaína, revelando uma estratégia perigosa de transporte de entorpecentes.
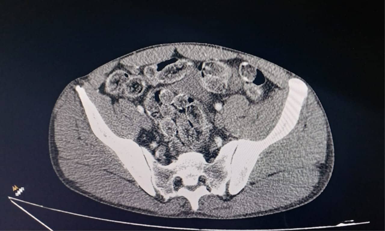
Dois dos detidos adotaram um método extremamente arriscado: a ingestão de cápsulas contendo droga. Após a abordagem, foram imediatamente encaminhados ao Conjunto Hospitalar de Sorocaba (CHS), onde exames confirmaram a presença de substâncias no estômago.
Os indivíduos passaram por procedimentos médicos para expelir as cápsulas, permanecendo sob observação hospitalar. A estratégia de “mulas” de drogas evidencia os riscos extremos assumidos por pessoas em situação de vulnerabilidade econômica.
A ocorrência destaca a complexa rota de tráfico entre Bolívia e Brasil, onde cidadãos frequentemente são cooptados para transportar drogas em condições desumanas. A Rodovia Castello Branco, importante via de conexão, tem sido historicamente uma rota sensível para o tráfico internacional.
Especialistas em segurança pública ressaltam que casos como este representam apenas a ponta de uma extensa rede criminal que explora pessoas em condições socioeconômicas precárias.
Os três bolivianos serão processados por tráfico internacional de drogas, crime que prevê penas severas no sistema judicial brasileiro.

Jornalista com mais de 9 anos de experiência, estudou na faculdade ESACM, e trabalhou no jornal impressos O Democrata, com circulação na região de São Roque, interior de São Paulo, bem como trabalhou na televisão, na REDETV em Osasco, sendo produtor do RedeTV News, trabalhou por um período no São Roque Notícias em 2011, e fundou o popular jornal Correio do Interior em 2016. Em 2020 tornou-se correspondente do Metrópoles no interior de São Paulo. Ainda em 2020 foi convidado pelo Google Brasil a participar do Google News Initiative (GNI) para aprimorar-se em boas práticas do jornalismo digital. Como jornalista é especialista em assuntos de vagas de trabalho, noticias locais e conteúdos de editoria regional e policial.




